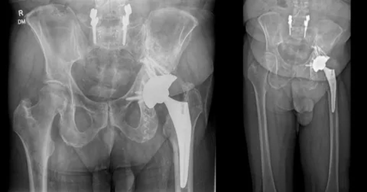
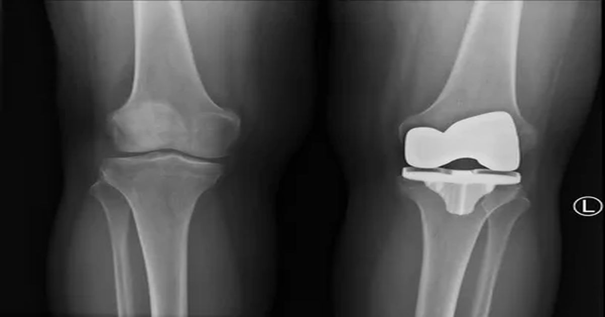
Eklem hastalıkları olan kişilerde uygulanan cerrahi yöntem, eklem yüzeylerini değiştirerek hareketi artırır ve ağrıyı azaltır. Total artroplasti, özellikle diz ve kalçada sık tercih edilir. Bu işlemde, hasarlı eklem parçaları özel protezlerle değiştirilir ve hastanın günlük yaşam kalitesi önemli ölçüde iyileşir.
Total Artroplasti Kimler İçin Uygundur?
İleri derecede eklem hasarı yaşayan yaşayan kişiler için cerrahi müdahaleler gündeme gelir. Özellikle diz eklemlerinde, eklem yüzeyini yeniden şekillendirmek amacıyla total artroplasti uygulanabilir.
Travma sonucu eklem deformasyonu oluşmuş kişiler, bu prosedür için öncelikli adaylardır. Cerrahiye uygunluk değerlendirilirken, hastanın genel sağlık durumu, eklem yapısı ve yaşam tarzı göz önünde bulundurulur.
Ameliyat sonrası süreç, rehabilitasyonla desteklendiğinde ağrının azalmasına yardımcı olur. Aynı zamanda eklem fonksiyonunun geri kazanılmasını sağlar. Doğru hasta seçimi ve uygun cerrahi teknikle uygulandığında, total artroplasti etkili bir çözüm sunar. Bu yöntem, yaşam kalitesini artırmada önemli bir rol oynar.
Total Artroplasti Öncesi Dikkat Edilmesi Gerekenler Nelerdir?
Cerrahi müdahale öncesinde hastaların genel sağlık durumu detaylı şekilde değerlendirilir. Kan testleri, röntgen ve MR gibi görüntüleme yöntemleri ile eklem yapısı ve çevre dokular incelenir. Bu aşama, ameliyatın güvenli ve etkili olabilmesi için kritik öneme sahiptir.
Hastaların mevcut ilaç kullanımı ve kronik rahatsızlıkları gözden geçirilir. Kan sulandırıcı ilaçlar cerrahi öncesinde düzenlenmelidir. Ayrıca, hastaların ameliyat sonrası iyileşme süreci beslenme alışkanlıklarıyla doğrudan ilişkilidir. Bu nedenle, beslenme düzeni ameliyat öncesinde dikkatle değerlendirilir.
Ameliyat öncesi egzersiz programları eklem çevresindeki kasların güçlenmesini sağlar. Bu, hem ameliyat sonrası toparlanmayı hızlandırır hem de eklemin daha stabil olmasına katkı sunar. Hastalar, ameliyat öncesi sigara ve alkol kullanımını sınırlandırmalı ve doktorun verdiği diğer hazırlık talimatlarına uymalıdır.
Ayrıca, cerrahi gününe kadar enfeksiyon riskini azaltmak önemlidir. Bu nedenle, hijyen kurallarına dikkat edilmelidir. Ameliyat öncesinde ev ortamının düzenlenmesi, güvenli bir iyileşme süreci geçirmesine yardımcı olur.
Tüm bu hazırlık adımlarının tamamlanmasının ardından, total artroplasti ameliyatı başarı şansı artırılır. Bu süreç, hastaların ameliyat sonrası yaşam kalitesini doğrudan etkileyen önemli bir aşamadır.
Total Artroplasti Nasıl Yapılır?
Ameliyat süreci, hastanın detaylı muayenesi ve görüntüleme testlerinin ardından planlanır. Cerrah, eklem bölgesindeki hasarı ve kemik yapısını değerlendirerek en uygun cerrahi yöntemi belirler. Ameliyat öncesi anestezi türü ve hasta hazırlıkları yapılır, böylece işlem sırasında riskler en aza indirilir.
Cerrahi sırasında eklem açılır ve hasarlı kıkırdak ile kemik dokusu dikkatlice çıkarılır. Gerekli ölçümler yapıldıktan sonra yapay eklem bileşenleri yerleştirilir. Bu bileşenler, genellikle metal karışımından üretilir. Uygulama sırasında kemik yüzeyine uygun bir şekilde yerleştirilir ve sabitlenir.
Cerrahi alan kapatılır ve dikiş veya zımba ile kapama işlemi gerçekleştirilir. Operasyonun ardından hastalar genellikle birkaç gün hastanede gözetim altında tutulur. Bu süreç, komplikasyon risklerini azaltmak için önemlidir.
Ameliyat sonrası rehabilitasyon sonrası sürecin kritik bir parçasıdır. Fizik tedavi ile eklem hareket kabiliyeti artırılır ve kaslar güçlendirilir. Düzenli kontroller ile eklem durumu takip edilir ve gerekirse ek önlemler alınır.
Tüm bu aşamalar, hastaların eklem ağrılarından kurtulmasını ve yaşam kalitesini artırmayı hedefler. Total artroplasti, doğru planlama ile uzun vadeli rahatlık sağlayan etkili bir cerrahi yöntem olarak öne çıkar.
Total Artroplasti İyileşme Süreci Nasıldır?
Ameliyatın ardından iyileşme süreci, hastanın yaşına, genel sağlık durumuna ve cerrahın önerilerine bağlı olarak değişiklik gösterir. İlk günlerde hastalar genellikle hastanede gözlem altında tutulur. Bu dönemde ağrı yönetimi, enfeksiyon riskinin önlenmesi ve yara bakımına özen gösterilir. Hareket kısıtlılığı ve eklem şişliği normaldir, ancak uygun desteklerle kontrol altına alınır.
Fizik tedavi, iyileşme sürecinin en kritik aşamalarından biridir. İlk haftalarda hafif egzersizler ve eklem hareketlerini destekleyen aktiviteler uygulanır. Amaç, kasların güçlenmesini sağlamak ve eklem hareket açıklığını korumaktır. Hastaların çoğu, yürüyüş ve basit günlük aktivitelerle kısa sürede kendi başlarına hareket etmeye başlar.
İyileşme sürecinde beslenme ve yaşam tarzı da önemli rol oynar. Kalsiyum ve D vitamini açısından zengin beslenme, kemik ve eklem sağlığını destekler. Aynı zamanda sigara ve alkol kullanımının sınırlanması, komplikasyon riskini azaltır. Düzenli kontroller, eklem durumunun izlenmesi açısından gereklidir.
Tedavi sonrası süreçte doğru rehabilitasyon desteği sağlanır. Bu destek, hastaların eklem fonksiyonunu geri kazanmasına yardımcı olur. Son parçada, hastaların iyileşme süreci total artroplasti sonrasında yapılacak doktor kontrollerine bağlıdır. Bu kontroller, sürecin güvenli ve etkili ilerlemesini sağlar.


